هر خانم باردار لازم است در طول دوران بارداری خود سونوگرافی بارداری را انجام دهد . با این وجود تعداد و زمان بندی انجام این سونوگرافی ها در هر فرد می تواند متفاوت باشد. برنامه سونوگرافی شما به چند فاکتور کلیدی بستگی دارد, از جمله:
- روند بارداری و سلامت مادر
- اولویت های شخصی شما
- پزشکی که انتخاب کرده اید
- سابقه پزشکی تان
- نوع بیمه
اگر سونوگرافی هفته ۸ را انجام نداده اید, احتمالا سونوگرافی هفته نهم برای محاسبه سن بارداری برای شما برنامه ریزی می شود. اگر از تاریخ آخرین پریود خود مطمئن نیستید, سونوگرافی در این هفته می تواند تاریخ فرضی شما را مشخص کند.
اولین سونوگرافی شما می تواند تجربه ای بسیار احساسی باشد و ایده خوبی است که همسر یا اعضای نزدیک خانواده خود را هم با خود ببرید و آنها در این حس شریک کنید. در کلینیک سونوگرافی و رادیولوژی دکتر حسین صدری همراه شما می تواند به اتاق سونوگرافی بیاید.
فهرست مطالب
هدف از انجام سونوگرافی هفته ۹
بسته به بارداری هر فرد, پزشک متخصص ممکن است سونوگرافی زودهنگامی را در هفته 9 ام پیشنهاد کند.
اگر این اولین سونوگرافی شما باشد, شانس فهمیدن زمان قطعی زایمان را خواهید داشت مخصوصا اگر از تاریخ آخرین پریود خود مطمئن نباشید.
دانستن آنکه چقدر از زمان بارداری شما می گذرد بسیار اهمیت دارد. زیرا هفته های 11 الی 13 بارداری سونوگرافی NT پیشنهاد می دهد. این سونوگرافی برای غربالگری سندرم داون انجام میشود و دانستن اینکه چقدر از بارداریتان می گذرد برای تشخیص قطعی و درست نیاز است.
اگر سابقه سقط در حاملگی قبلی خود دارید یا درجاتی از خونریزی واژینال را در 9 هفته گذشته تجربه کرده اید, پزشک انجام سونوگرافی را در این هفته پیشنهاد می دهد. این سونوگرافی می تواند سلامت بارداری تان را تایید کند.
سونوگرافی هفته نهم چگونه انجام می شود؟
سونوگرافی در هفته 9 می تواند از طریق واژن یا به صورت خارجی بر روی شکم انجام گیرد.
همانطور که میدانید مبلغ انجام سونوگرافی های جنین برای بعضی از خانواده ها مبلغ بالایی است و با توجه به اهمیت داشتن انجام آن می شود گفت یکی از فاکتور های مهم بعضی از خانواده ها برای انتخاب بهترین سونوگرافی در تهران٬ تحت پوشش بیمه بودن آن سونوگرافی می باشد. خوشبختانه کلینیک سونوگرافی و رادیولوژی دکتر صدری با تحت پوشش بودن بیمه ها این نگرانی را برای خانواده ها برطرف کرده است. جهت کسب اطلاعات بیشتر لطفا با مطب تماس بگیرید.
در سونوگرافی هفته نهم چه چیزهایی دیده می شود؟
در هفته نه شما قادر به دیدن سر, بدن و دست و پای فرزند خود هستید و ممکن است برای اولین بار قادر به شنیدن ضربان قلب رویان خود با مانیتور داپلور هستید. ممکن است لحظه ای بسیار احساسی برای شما باشد پس بهتر است به همراه خود دستمال کاغذی ببرید.

تشخیص شانس سقط بالا توسط سونوگرافی
مهم است که بدانید سقط در 3 ماهه اول بارداری نسبتا معمول است.
اگر سونوگرافی نشان دهد که رشد رویان آهسته است یا ضربان قلب او پایین تر از حد طبیعی است, احتمال سقط رویان وجود دارد.
اگر درد یا خونریزی واژینالی را تجربه می کنید, برای این اتفاق آماده باشید. اگرچه فرقی نمی کند که چقدر فکر میکنید برای این اتفاق آماده هستید زمانی که شک به سقط تایید شود, لحظه ی غم انگیزی را تجربه خواهید کرد.
ویژگی های رویان در هفته نه
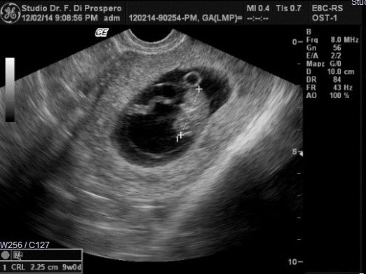
اندازه رویان در هفته نهم تقریبا 2.5 سانتی متر است.
رویان شبیه زیتون سبزی است که کمتر از 2 گرم وزن دارد
چشمان رویان رشد کرده و بزرگ تر شده و حتی رنگ هم دارد اما چشمهایش توسط پلک ها بسته هستند.
در این هفته همچنین می توانید ابتدای تشکیل انگشتان دست و پا را ببینید.
فیلم جنین هفته نهم



 
						 
						
بدون دیدگاه