فهرست مطالب
عکس دندان و OPG
مژده: به اطلاع مراجعین بزرگوار می رسانیم پیشرفته ترین دستگاه OPG و پانورکس دندان با کمترین میزان اشعه و عارضه، به موسسه سونوگرافی و رادیولوژی دکتر صدری اضافه شده است.
عکس پانورامیک دندان چیست؟
عکس دندان نوعی گراف دو بعدی می باشد که با اشعه ایکس از دندان تصویربرداری می کند. opg و سفالوگرام دو نوع عکس دندان می باشد. در opg یا عکس پانورامیک دندان نمای پانورامایی از فک بالا و پایین نشان می دهد یعنی با کمترین مقدار امواج تصویر کلی از دندان ها را ظاهر می کند در حالی که سفالوگرام ساختار های صورت و ارتباط بین دندان ها را نشان می دهد.
به طور کلی گرافی دندان بهترین ابزار جهت تشخیص بیماری های دهان و دندان می باشد……………..

مزایای عکس دندان opg
عکس پانورامیک دندان بدون درد می باشد، به سرعت انجام می شود و عکس ظاهر می شد. بیمار را در برابر کمترین مقدار اشعه قرار می دهد. عکس دندان اطلاعات ارزشمندی را به دندانپزشک وارتودنتیست نشان می دهد.
تشخیص عکس دندان
عکس opg به صورت گسترده در چکاپ های دوره ای معاینه دندان انجام می شود. با عکس دندان موارد زیر را می توان تشخیص داد:
- نمای کلی دندان ها
- دندان عقل نهفته
- حفرات دندانی و پوسیدگی ها
- به هم فشردگی دندان ها
- شکستگی دندان و فک
- عفونت
- تومور
- کیست های دهان و دندان
- سینوس ها
- جا به جایی
- بیماری های فک
- درمان ارتودنسی
- برنامه ریزی برای درمان همانند ایمپلنت گذاری
![]()
عکس دندان در شیردهی
اگر در دوران شیردهی پزشک درخواست عکس دندان داد جای نگرانی وجود ندارد. زیرا عکس دندان از جمله opg در دوران شیردهی بی خطر می باشد.
عکس تکی از دندان در بارداری
همانطور که گفته شد opg از اشعه ایکس استفاده می کند. بنابراین اگر احتمال بارداری وجود دارد حتما به پزشک خود اطلاع دهید.
عکس دندان در زنان باردار را میتوانیم با پوشیدن روپوش سربی بگیریم.
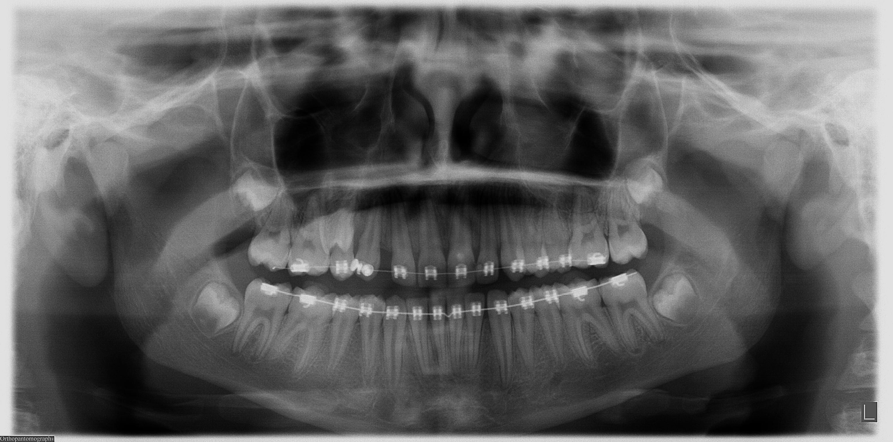
عکس دندان برای ارتودنسی
یکی از کاربرد های عکس دندان در تصمیم گیری و برنامه ریزی جهت درمان ارتودنسی می باشد. عکس دندان در تشخیص اختلالات فک و ضایعات دندانی مفید می باشد.

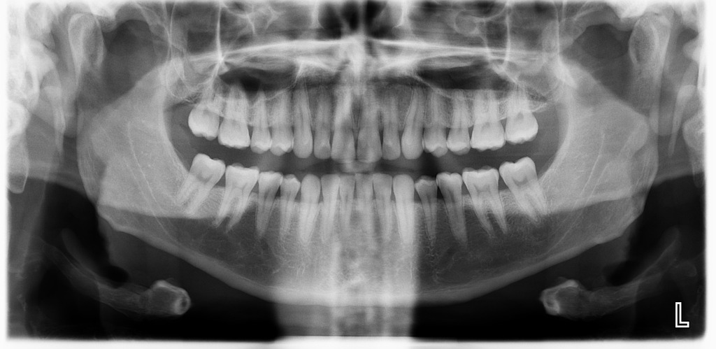
عکس دندان سالم
در این تصویر عکس دندان سالم را مشاهده می کنید

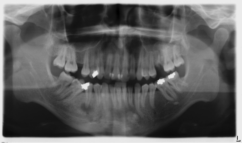
عکس دندان به عصب رسیده

هزینه عکس دندان
خوشبختانه مرکز تخصصی سونوگرافی و رادیولوژی دکتر حسین صدری با ۲۵ سال سابقه درخشان عکس دندان را طبق تعرفه های وزارت بهداشت انجام می دهد، همچنین برای بیمه های تامین اجتماعی و خدمات درمانی هزینه عکس دندان طبق قیمت تعرفه بیمه میباشد. برای اطلاع از قیمت دقیق انواع عکس دندان می توانید با کلینیک دکتر صدری تماس بگیرید.


2 دیدگاه