فهرست مطالب
- 1 سونوهیستروگرافی (سونوهیسترو) چیست؟
- 2 بهترین زمان انجام هیستروسونوگرافی
- 3 موارد کاربرد سونوهیستروگرافی
- 4 موارد منع استفاده از سونوهیسترو
- 5 آمادگی قبل از انجام سونوهیستروگرافی
- 6 آیا سونوهیستروگرافی (سونوهیسترو) درد دارد
- 7 نحوه انجام سونو هیستروگرافی(سونو هیسترو)
- 8 چه مواردی در هیستروسونوگرافی یافت می شود؟
- 9 مضرات سونو هیستروگرافی (سونوهیسترو)
- 10 بهترین مرکز انجام سونوهیستروگرافی (سونوهیسترو)
- 11 فیلم سونوهیستروگرافی
- 12 هزینه سونوهیستروگرافی
- 13 تفاوت و شباهت های تشخیصی سونوهیستروگرافی و هیستروسالپنگوگرافی
- 14 تصاویر سونوهیسترو در کلینیک سونوگرافی و رادیولوژی دکتر صدری و توضیح دکتر صدری در مورد آن
سونوهیستروگرافی (سونوهیسترو) چیست؟
سونوهیستروگرافی یا هیستروسونوگرافی نوعی سونوگرافی ترانس واژینال می باشد که از انفوزیون نرمال سالین استفاده می شود. به گفته پزشک بعد از اینکه مثانه خود را تخلیه کردید این تست انجام می گیرد. در این سونوگرافی پزشک از نوعی پروب مخصوص استفاده می نماید و بعد از وارد کردن به حفره رحمی و سپس تزریق نرمال سالین استریل با امواج سونوگرافی به بررسی ساختمانی رحم و ضمائم رحمی می پردازد. به سونوهیسترو سونوگرافی با انفوزیون سالین یا SIS گفته می شود که روش کم تهاجمی می باشد. بعضی اوقات ممکن است به همراه سونوهیستروگرافی سونوگرافی داپلر برای بررسی بیشتر انجام گردد.
بهترین زمان انجام هیستروسونوگرافی
بهترین زمان انجام هیستروسونو ۸-۱۲ روز بعد از شروع پریود می باشد. در این زمان احتمال رخ دادن عفونت کمتر می شود. همچنین در این زمان اندومتر کمترین ضخامت را دارد و پزشک با دقت بیشتری می تواند اندومتر را بررسی نماید. اگر در زمان دیگری انجام شود ممکن است تغییرات ضخامت اندومتر که مربوط به سیکل فیزیولوژیک و طبیعی بدن می باشد با مواردی همانند پولیپ یا هایپرپلازی اندومتر اشتباه شود و جواب تصویربرداری به صورت کاذب مثبت شود.
اگر شما سیکل قاعدگی منظمی ندارید و نیاز به انجام سونوهیستروگرافی دارید نگران نباشید. در چنین مواردی ممکن است پزشک شما با تجویز دارویی (مدروکسی پروژسترون استات) به مدت ۱۰ روز حالتی شبیه به کورتاژ ایجاد کند که با توان با بالاترین دقت هیستروسونو را انجام داد.
شما می توانید پیح رسمی کلینیک دکتر حسین صدری را در اینستاگرام دنبال کنید و تمام سوالات خود را به صورت مستقیم با دکتر صدری در میان بگذارید
موارد کاربرد سونوهیستروگرافی
سونوهیسترو در موارد زیر کاربرد دارد:
- خونریزی غیر طبیعی واژینال یا AUB که ممکن است به علل زیر مربوط باشد:
- پولیپ
- فیبروئید
- اختلالات مادرزادی
- توده و بدخیمی
- آتروفی واژینال
- چسبندگی واژینال
در تصویر زیر نمونه ای از خونریزی غیر طبیعی رحمی در فردی که در حول زمان یائسگی می باشد مشاهده می فرمایید:

- روش تکمیلی در بررسی علت ناباروری و سقط مکرر در صورت شک به اختلالات ساختمانی رحمی
- اختلالات مادرزادی حفره ی رحمی
- ناهنجاری های حفره ی رحمی که سونوگرافی واژینال مشاهده شده باشد
- سونوگرافی داپلر به صورت تکمیلی در موارد زیر استفاده می شود:
- انسداد جریان خون همانند وجود لخته
- بررسی جریان خون در پولیپ، توده ها و اختلالات ساختمانی مادرزادی
- آنوریسم و واریس لگنی
موارد منع استفاده از سونوهیسترو
- بارداری
- عفونت لگنی
آمادگی قبل از انجام سونوهیستروگرافی
انجام سونوهیسترو نیاز به هیچ آمادگی مخصوصی ندارد.
آیا سونوهیستروگرافی (سونوهیسترو) درد دارد
سونوهیسترو معمولا بدون درد و خون ریزی انجام می شود. در هنگام ورود پروب ممکن است کمی احساس ناراحتی کنید. لازم به ذکر است میزان دردی در این پروسه ممکن است تجربه کنید به مهارت و تجربه پزشک به شدت وابسته است. کلینیک سونوگرافی و رادیولوژی دکتر صدری با بیش از ۲۵ سال سابقه یکی از مراکز تخصصی و شناخته شده در زمینه هیستروسونوگرافی می باشد.
نحوه انجام سونو هیستروگرافی(سونو هیسترو)

این روش بدون بی هوشی و یا بی حسی انجام می شود، زیرا نسبتا بدون درد می باشد و ممکن است ناراحتی کمی هنگام پروب احساس نمایید که کاملا طبیعی می باشد. جمعیت کمی از افراد ممکن است درد یا کرامپ شکمی تجربه کنند.
نحوه ی انجام سونوهیسترو همانند سونوگرافی ترانس واژینال می باشد، به گونه ای که یک پروب که امواج سونوگرافی را ارسال می کند به داخل واژن می برند و با یک کاتتر نازک مایع سالین وارد واژن می شود. امواج سونوگرافی منتشر شده به بافت های مختلف برخورد کرده و بر حسب نوع بافتی با فرکانس و شدت متفاوتی بر می گردد که این فرکانس توسط دستگاه شناسایی شده و به تصویر تبدیل می شود. این تصاویر توسط پزشک تفسیر می شوند.
چه مواردی در هیستروسونوگرافی یافت می شود؟
پولیپ
در این مورد ممکن است سونوگرافی کالر داپلر به صورت تکمیلی انجام شود. در تصویر زیر نمونه ای از پولیپ را مشاهده می کنید که توسط کالر داپلر عروق مرکزی تغذیه کننده نشان داده شده است:

لیومیوم

هایپرپلازی و سرطان

چسبندگی
آدنومیوز
مضرات سونو هیستروگرافی (سونوهیسترو)
کل پروسه سریع و بدون درد انجام می شود و معمولا به راحتی تحمل می شود. عوارض سونوهیسترو نادر و جزئی می باشد:
- شکست در اتمام پروسه (۷ درصد): معولا در افرادی که در دفعه اول نتوان سونوهیسترو را انجام داد با امتحان مجدد با موفقیت تصویر برداری انجام می شود.
- درد لگن (۳.۸ درصد): این پروسه درد ندارد و توسط افراد کمی ممکن است درد احساس شود. به طور کلی این درد اگر احساس شود بسیار کمتر از هیستروسکوپی می باشد.
- حالت تهوع (۱ درصد)
- تب (۰.۸ درصد)
بهترین مرکز انجام سونوهیستروگرافی (سونوهیسترو)
مرکز تخصصی سونوگرافی و رایولوژی دکتر حسین صدری این افتخار را دارد که بهترین و کامل ترین سونوگرافی های تخصصی در زمینه نا باروری در زنان را با به روزترین دستگاه ها توسط پزشک متخصص ، دکتر حسین صدری، که با بیش از 25 سال سابقه در این حوزه دقیق ترین نتایج را به عمل می آورد، خدمات نوینی را با نازلترین قیمت ها خدمت شما مردم گرامی ارائه نماید.
فیلم سونوهیستروگرافی
هزینه سونوهیستروگرافی
همانطور که اشاره شد سونوهیسترو موارد کاربرد زیادی دارد. خوشبختانه مرکز تخصصی سونوگرافی دکتر حسین صدری با 25 سال سابقه درخشان هیستروسونوگرافی را طبق تعرفه های وزارت بهداشت انجام می دهد، همچنین برای بیمه های تامین اجتماعی و خدمات درمانی هزینه سونوگرافی طبق قیمت تعرفه بیمه می باشد. برای اطلاع از قیمت دقیق انواع سونوگرافی همانند این سونوگرافی میتوانید با کلینیک سونوگرافی و رادیولوژی دکتر صدری تماس حاصل فرمایید.
تفاوت و شباهت های تشخیصی سونوهیستروگرافی و هیستروسالپنگوگرافی
همانطور که در مقاله ی هیستروسالپنگوگرافی اشاره شد، عکس رنگی رحم نوعی روش تصویر برداری با اشعه ایکس می باشد که در صورت شک به اختلالات ساختاری و ناهنجاری های رحم و لوله های رحمی در زمان ناباروری انجام می شود. هیستروسالپنگوگرافی معمولا اولین قدم ارزیابی در چنین مواردی می باشد.
سونوهیسترو نوعی سونوگرافی می باشد که از امواج صوتی برای ارزیابی رحم و اندومتر استفاده می شود که همانند عکس رنگی رحم نوعی روش تصویر برداری از رحم می باشد با این تفاوت که از امواج صوتی استفاده می کند که هیچ خطری ندارد.
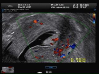
تصاویر سونوهیسترو در کلینیک سونوگرافی و رادیولوژی دکتر صدری و توضیح دکتر صدری در مورد آن
عکس مربوط به سونو هیسترو است و در قسمت بالای کاویته رحمی تصویر یک پولیپ با پدیکل عروقی آن که از لایه قدامی اندومتر منشا گرفته رویت میشود:







بدون دیدگاه