فهرست مطالب
- 1 ماموگرافی (mammography) چیست؟
- 2 هدف از انجام ماموگرافی؟
- 3 چگونه برای ماموگرافی آماده شوم؟
- 4 ماموگرافی چگونه انجام می شود؟
- 5 بعد از انجام مامو گرافی چه اتفاقی می افتد؟
- 6 ماموگرافی از چه سنی انجام می شود؟
- 7 عکس ماموگرافی زنان
- 8 آیا ماموگرافی درد دارد؟
- 9 آیا با انجام ماموگرافی غربالگری, هنوز هم نیاز است که معاینه سینه توسط خود فرد هم صورت گیرد؟
- 10 عوارض ماموگرافی؟
- 11 تفسیر نتیجه ماموگرافی؟
- 12 هزینه ماموگرافی
- 13 مراکز ماموگرافی در تهران
مژده:
به اطلاع مراجعه کنندگان عزیز می رسانیم کلینیک سونوگرافی و رادیولوژی دکتر صدری به روز ترین تجهیزات ماموگرافی را به مجموعه اضافه کرده است.
ماموگرافی (mammography) چیست؟
ماموگرافی نوعی رادیوگرافی یا x-ray (اشعه ایکس) پستان می باشد. ماموگرافی جزئی از غربالگری سرطان پستان می باشد. ماموگرافی به همراه معاینه بالینی توسط پزشک و خودآزمایی پستان روش اصلی تشخیص زودهنگام سرطان سینه می باشد.
بر طبق گزارشات موسسه ملی سرطان آمریکا، سرطان پستان دومین سرطان شایع بعد از سرطان پوست در بین زنان آمریکا می باشد. سالانه ۲۳۰۰ آقا و ۲۳۰۰۰۰ خانم به سرطان سینه مبتلا می شوند.
بعضی از متخصصین توصیه می کنند زنان بالای ۴۰ سال هر ۱-۲ سال یکبار ماموگرافی انجام دهند. سازمان سرطان آمریکا توصیه می کند که غربالگری سرطان پستان و ماموگرافی از ۴۵ سالگی شروع شود. پزشک شما ممکن است توصیه کند که غربالگری سرطان پستان و ماموگرافی را زودتر شروع کنید، یا با فواصل کوتاه تر انجام دهید و یا پزشک ابزارهای تشخیصی دقیق تری استفاده می کند.
اگر ماموگرافی را به صورت مرتب انجام دهید، ماموگرافی غربالگری نام دارد که پزشک هرگونه تغییر در بافت پستان و یا وجود توده در سینه را متوجه می شود.
اگر شما توده ی پستانی و یا سایر علائم سرطان پستان داشته باشید پزشک برای شما ماموگرافی تشخیصی درخواست می کند. اگر شما هرگونه ایمپلنت پستانی داشته باشید ماموگرافی تشخیصی نیاز خواهید داشت. ماموگرافی تشخیصی وسیع تر و پیچیده تر از ماموگرافی غربالگری می باشد. ماموگرافی تشخیصی به اشعه بیشتری برای دریافت نماهای مختلف از پستان در موقعیت های گوناگون نیاز دارد. در موارد مشکوک ماموگرافی، پزشک رادیولوژیست از بزرگنمایی بالاتری استفاده می کند.
هدف از انجام ماموگرافی؟
همانطور که گفته شد, ماموگرافی می تواند بهترین راه مقابله با سرطان سینه باشد چرا که در اغلب موارد سرطان را در مراحل اولیه حتی قبل از آنکه در معاینه سینه هم حس شود, شناسایی می کند. مطالعات به وضوح نشان داده است که ماموگرافی آمار زنده ماندن از سرطان سینه را افزایش می دهد.
چگونه برای ماموگرافی آماده شوم؟
لازم است که در روز انجام ماموگرافی به یک سری نکات توجه کنید. در روز انجام ماموگرافی از دئودورانت، پودر بدن و عطر استفاده نکنید. همچنین هیچ گونه پماد و یا کرم برای پستان ها و داخل بازوی خود استفاده نکنید. این مواد ممکن است که تصویر ماموگرافی را غیر طبیعی نشان دهند و یا شبیه کلسیفیکاسیون و رسوب کلسیم نمایان شوند.
اگر در دوران بارداری و یا شیردهی می باشید حتما به پزشک خود اطلاع دهید. به طور کلی انجام ماموگرافی در این دو دوره ممنوع می باشد. در مواقع لزوم پزشک از سایر روش های غربالگری سرطان پستان همانند سونوگرافی پستان به جای ماموگرافی استفاده می نماید.
ماموگرافی چگونه انجام می شود؟
قبل از انجام ماموگرافی هرگونه پوشش تا کمر همانند گردنبند را در بیاورید. بسته به تجهیزات ماموگرافی، می ایستید یا می نشینید.
سپس پستان را بر روی صفحه مسطح ماموگرافی قرار می دهید. یک کامپرسور (دستگاه متراکم کننده) بر پستان فشار وارد می کند تا بافت سینه پهن شود. این کار منجر به تولید عکس دقیق تر و واضح تر از پستان می شود. حین پرتودهی ماموگرافی از شما خواسته می شود که نفس خود را حبس کنید. ممکن است که در حین انجام ماموگرافی ناراحتی و یا فشار جزئی حس کنید.
پزشک عکس های ماموگرافی را بررسی می کند. در موارد مشکوک و یا ناواضح ممکن است از نماهای دیگری ماموگرافی انجام شود. این اتفاق اغلب رخ می دهد و جای هیچ گونه نگرانی نمی باشد.
ماموگرافی دیجیتال در بعضی از مراکز رادیولوژی موجود می باشد. ماموگرافی دیجیتال برای خانم های کمتر از ۵۰ سال که بافت پستانی متراکم تری دارند مناسب تر می باشد. در ماموگرافی دیجیتال تصویر در حین انجام ماموگرافی بر روی مانیتور پدیدار می شود که دیگر نیازی نیست پزشک برای مشاهده تصویر صبر بنماید. همچنین ماموگرافی دیجیتال تصویری واضح تر بر روی مانیتور نشان می دهد. انواع ماموگرافی همانند ماموگرافی دیجیتال در موسسه سونوگرافی و رادیولوژی دکتر حسین صدری وجود دارد. دستگاه های موسسه دکتر صدری به روزترین تجهیزات را داراست که با عث می شود کمترین میزان اشعه و کمترین میزان درد را تجربه کنید. همچنین جهت رفاه حال شما عزیزان تکنسین خانم و پزشک خانم نیز در موسسه دکتر صدری حضور دارند. جهت اطلاع از ساعات کاری لطفا با مطب تماس حاصل فرمایید.

بعد از انجام مامو گرافی چه اتفاقی می افتد؟
بعد از انجام ماموگرافی, شما ممکن است تغییر رنگ موقت پوستی یا درد خفیف را در نتیجه فشار در ناحیه سینه ها احساس کنید.
میتوانید از آسپیرین یا ایبوپروفن برای رهایی از درد استفاده کنید. به طور کلی شما قادر خواهید بود سریعا بعد از انجام ماموگرافی فعالیت روزانه خود را از سر بگیرید.
ماموگرافی از چه سنی انجام می شود؟
با افزایش سن, احتمال ابتلا به سرطان سینه نیز افزایش می یابد. در رابطه با سن شروع ماموگرافی اختلاف نظراتی وجود دارد.
انجمن سرطان آمریکا توصیه می کند:
- زنان با سن ۴۰ تا ۴۵ سال در صورت تمایل می توانند شروع به انجام سالانه ماموگرافی غربالگری کنند.
- زنان ۴۵ تا ۵۴ ساله لازم است تا ماموگرافی را هر سال انجام دهند
- زنان بزرگتر از ۵۵ سال باید انجام ماموگرافی را هر ا تا ۲ سال یک بار ادامه دهند.
از آنجایی که محققین با سن شروع ماموگرافی اختلاف نظر دارند پس بهتر است تا یا پزشک متخصص زنان و زایمان خود در این رابطه مشورت کنید.
کارگروه خدمات پیشگیرانه ایالت متحده توصیه می کند که زنان ۵۰ ساله تا ۷۴ ساله غربالگری سرطان سینه را هر دو سال یکبار انجام دهند و تصمیم برای شروع سالانه ماموگرافی غربالگری قبل از ۵۰ سالگی به عهده خود فرد است.
اگرچه نیاز به انجام سونوگرافی سینه، تصمیمی شخصی بین شما و پزشکتان است اما اگر سن شما بیشتر از ۴۰ سال است, از پزشک خود درباره ی شروع ماموگرافی غربالگری سوال کنید.
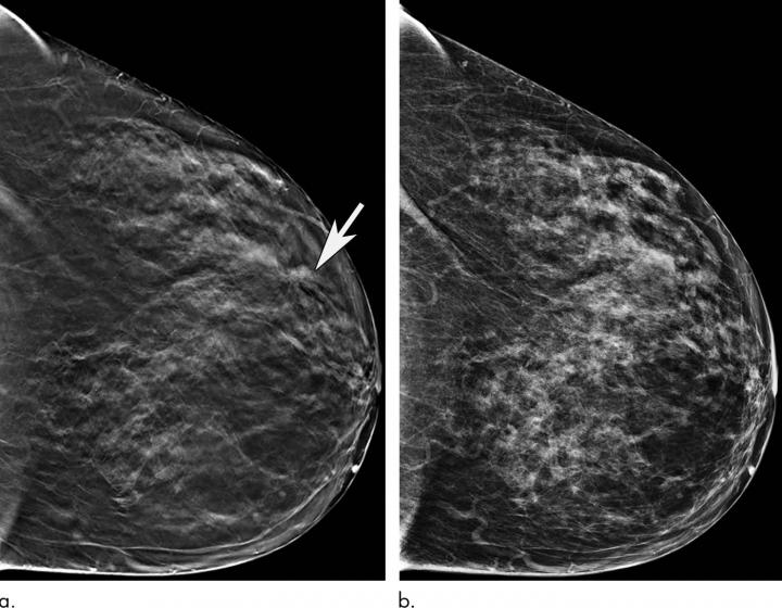
عکس ماموگرافی زنان
بعد از انجام ماموگرافی عکس ماموگرافی یا سی دی آن به شما تحویل داده می شود. عکس ماموگرافی بر اساس نوع دستگاه ماموگرافی و نمای تصویر برداری ظاهر متفاوتی دارد. نماهای مختلف ماموگرافی به تشخیص دقیق تر ضایعه کمک می کند. در ادامه چند نوع عکس ماموگرافی را مشاهده می کنید.
آیا ماموگرافی درد دارد؟
شاید شایع ترین سوال بین کسانی که برای اولین بار میخواهند ماموگرافی را انجام دهند این باشد که آیا پروسه ای دردناک است؟ و قرار است که سینه ها بین دو صفحه فلزی له شوند؟ خیر, صفحات فشاری ماموگرافی از جنس اکرلیک است و به گونه ای تعبیه شده اند که مناسب ترین فشار را بدون احساس ناراحتی ایجاد کند.
آیا ماموگرافی برای عده ای دردناک تر است؟
احساس ناراحتی در طول انجام ماموگرافی در مراجعین مختلف, متفاوت است. عده ای در طول تصویر برداری ماموگرافی به دلیل فشاری که بر روی سینه وارد می شود, احساس ناراحتی میکنند. با این وجود اغلب زنان آن را تقریبا به خوبی تحمل می کنند.
اینکه چقدر ماموگرافی می تواند دردناک باشد, به موارد زیر بستگی داره:
- اندازه سینه ها
- زمان انجام ماموگرافی (مثلا در هنگام عادت ماهانه باشید)
- توانایی تکنسین و پزشک و وضعیت قرار دهی سینه ها
چه کار کنیم تا درد یا احساس ناراحتی در طول ماموگرافی را کاهش دهیم؟
مهم ترین قدم برای بانوانی که نگران درد در هنگام انجام ماموگرافی هستند, صحبت با تکنسین قبل از شروع فرآیند است. اگر در طول تصویر برداری احساس ناراحتی یا درد دارید, به تکنسین بگویید تا وضعیت قرار دهی متفاوتی را امتحان کند. خوشبختانه در کلینیک سونوگرافی و رادیولوژی دکتر حسین صدری مجرب ترین تکنسین های ماموگرافی در محیطی آرام با رعایت موازین اخلاقی آماده خدمت رسانی به شما بزرگواران هستند. شما می توانید حین انجام ماموگرافی هر سوالی داشتید از تکنسین مربوطه بپرسید. پس با آسودگی خاطر ماموگرافی خود را در موسسه رادیولوژی و سونوگرافی دکتر حسین صدری انجام دهید.
دیگر مواردی که می توانید انجام دهید تا درد را کاهش دهید عبارت است از:
- چند روز مانده به عادت ماهانه و همچنین در طول زمان قاعدگی, به دلیل تغییرات هورمونی, حساسیت سینه ها افزایش میابد. پس برای گرفتن وقت ماموگرافی, زمان عادت ماهانه خود را هم در نظر بگیرید.
- با تکنسین مربوطه هر گونه سابقه ای که ممکن است پروسه را برایتان دردناک تر کند( مانند احساس درد و ناراحتی در ماموگرافی قبلی یا سابقه کیست سینه) در میان بگذارید.
- در طول پروسه ماموگرافی تکان نخورید تا تصاویری واضح گرفته شود و از تکرار فرآیند جلوگیری شود.
آیا با انجام ماموگرافی غربالگری, هنوز هم نیاز است که معاینه سینه توسط خود فرد هم صورت گیرد؟
تمامی سرطان های سینه توسط ماموگرافی تشخیص داده نمی شود. مخصوصا در خانم های جوان تر که بافت سینه متراکم تری دارند. شما همچنین ممکن است معاینه سینه را توسط پزشک متخصص هر ۳ سال یکبار از سن ۲۰ سالگی و هر سال از سن ۴۰ سالگی انجام دهید.
عوارض ماموگرافی؟
ماموگرافی از اشعه ایکس (x-ray) استفاده می کند. شما در حین انجام ماموگرافی مقدار ناچیزی از اشعه ایکس دریافت می کنید که تقریبا عارضه ای ندارد. اگر خانمی باردار باشد و حتما باید قبل زایمان ماموگرافی انجام دهد حین انجام ماموگرافی پیشبند سربی می پوشد. خوشبختانه دستگاه های ماموگرافی مجموعه دکتر صدری مجهز به پیشرفته ترین امکانات هستند که شما ککمترین درد را تجربه خاهید کرد و کمترین میزان اشعه را دریافت می کنید.
تفسیر نتیجه ماموگرافی؟
تصاویر ماموگرافی به یافتن کلسیفیکاسیون و رسوب کلسیم در پستان کمک می کند. اغلب، کلسیفیکاسیون در پستان نشانه بدخیمی و سرطان نمی باشند. با ماموگرافی می توان کیست پستان (کیسه پر از آب که ممکن است در سیکل قاعدگی بعضی از خانم ها پدید آید و خود به خود از بین رود)، توده های سرطانی و غیر سرطانی پستان را تشخیص داد.
برای خواندن ماموگرافی سیستم بین المللی به نام BI-RADS وجود دارد. طبق این سیستم نتایج ماموگرافی به هفت دسته از ۰ تا ۶ تقسیم می شوند. هر دسته توصیف می کند که آیا تصویربرداری دیگری نیاز می باشد و نوع توده (خوش خیم و بدخیم) را مشخص می کند. هر دسته برنامه پیگیری مخصوص به خود را دارا می باشد. پزشک متخصص نتیجه ماموگرافی را به شما توضیح می دهد و اقدامات لازم را برای شما شرح می دهد.
هزینه ماموگرافی
هزینه ماموگرافی بر حسب یک طرفه یا دو طرفه بودن و بر اساس بزرگنمایی متفاوت است و بر اساس تعرفه وزارت بهداشت و درمان در بخش خصوصی محاسبه می گردد. جهت اطلاع از هزینه ها لطفا با مطب دکتر صدری تماس بگیرید.
مراکز ماموگرافی در تهران
مرکز تخصصی دکتر حسین صدری این افتخار را دارد که بهترین و کامل ترین دستگاه های ماموگرافی را توسط پزشک متخصص ، دکتر حسین صدری، که با بیش از ۲۶ سال سابقه در این حوزه دقیق ترین نتایج را به عمل می آورد، خدمات نوینی را با نازلترین قیمت ها خدمت شما مراجعین گرامی ارائه نماید. دستگاه ماموگرافی موسسه دکتر صدری دارای پیشرفته ترین تکنولوژی می باشد که با کمترین میزان اشعه و با کمترین درد توسط مجرب ترین تکنسین ها انجام می شود که بهترین و با کیفیت ترین تصاویر ممکن به صورت تمام رنگی و دیجیتال تولید می کند. جهت کسب اطلاعات بیشتر لطفا با مطب تماس بگیرید.
منبع1
منبع 2
منبع 3






[…] سرطان هایی مثل پستان و کولون که روش هایی مثل ماموگرافی و کولونوسکوپی برای غربالگری وجود دارد، در سرطان ریه […]